¿Lleva meses, o hasta años, postergando recuperar su sonrisa?
Deje de Esconder Su Sonrisa. Más de 4.000 Personas Ya Dieron Ese Paso.
Con el Dr. Carlos Paz y más de 20 años de experiencia en implantes, vuelva a comer lo que quiera y a sonreír sin taparse la boca. Su valoración es gratis.
Escríbanos por WhatsApp — Shirley le agenda su valoración sin presión.
Esto No Debería Ser Su Día a Día
Si algo de esto le suena familiar, no está solo. Más de 4.000 personas pasaron por lo mismo — y hoy viven sin ese peso.
Se tapa la boca al reír en reuniones familiares
En cada foto, en cada cena, en cada cumpleaños — esa mano que sube automáticamente para esconder lo que falta. Usted sabe exactamente ese gesto.
Dejó de comer lo que le gusta porque masticar se convirtió en tortura
Esa carne asada que antes disfrutaba, esa mazorca en familia — ahora las evita. Come suave, come rápido, come con miedo a que la prótesis se mueva.
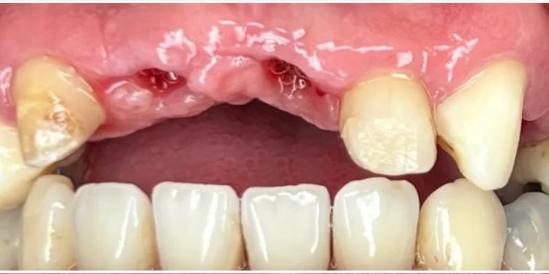
Siente que la gente nota que le faltan dientes
Esa inseguridad que no lo deja hablar tranquilo ni sonreír con libertad. Lleva años escondiendo algo que debería ser lo más natural del mundo.
Sabe que cada mes sin tratamiento el problema empeora
Y tiene razón: sin implantes, el hueso se reabsorbe, los dientes vecinos se desplazan, y la cara empieza a cambiar. Eso no se detiene solo.
Ha buscado opciones pero no sabe a quién confiarle su caso
Hay muchas clínicas, muchas promesas, muchos precios. Lo que usted necesita es un especialista con resultados comprobados — no un vendedor.
Ese dolor al masticar, esa pena al sonreír, esa preocupación que no lo deja tranquilo... no tiene por qué seguir así.
La Mayoría de Consultorios le Ponen el Mismo Implante a Todos. Ese Es el Problema. Esto Es la Diferencia.
Usted no necesita el implante más caro. Necesita el que está diseñado para su hueso, su caso, su vida.
Lo Que Hacen Otros
- Le ponen el implante que tienen guardado — sin decirle por qué
- El mismo plan y el mismo precio para todos
- Usted no sabe por qué eligieron esa marca para su boca
- Si el implante falla, toca empezar de cero
Método Dr. Paz
- Elige entre 3 de las mejores marcas del mundo la ideal para SU tipo de hueso
- Plan diseñado para su caso — con tiempos y opciones reales
- Le explica por qué ESA marca es la mejor para usted
- +4.000 implantes. 95 de cada 100 salen bien — porque cada uno se eligió con cuidado
"En ese consultorio, usted es un caso más con el implante que les queda. En este, el Dr. Paz estudia su hueso, elige la marca ideal, y le explica todo — antes de tocar su boca."
+20 años eligiendo la marca correcta para cada hueso. +4.000 implantes lo respaldan.
Su Nueva Sonrisa en 3 Pasos
Sin sorpresas, sin letra pequeña. Así funciona de principio a fin.
Primero lo escuchamos a usted

El Dr. Paz lo escucha, examina su caso, revisa encías y hueso, y le explica sus opciones con calma. Sin tecnicismos, sin presión. Usted sale sabiendo exactamente qué necesita — sin haber pagado un peso.
Sin costo inicialLe armamos un plan solo para su caso

Recibe un plan con la marca de implante ideal para usted — Biohorizons, Straumann o Ankylos — las 3 mejores del mundo. El Dr. Paz le muestra por qué eligió ESA marca para SU hueso, no otra. Tiempos reales, opciones de pago, y un precio claro sin sorpresas.
Claridad totalVuelve a sonreír sin pensarlo dos veces

Con anestesia local, sin dolor, en 1 a 2 horas. El diente nuevo se hace para que se vea igual a uno natural. Usted vuelve a masticar lo que quiera, sonreír sin taparse la boca, y vivir sin preocupaciones.
Garantía de por vidaEl primer paso no cuesta nada. Solo toma una decisión.
Agendar Mi Evaluación GratisCupos limitados esta semana
+4.000 Pacientes Ya Recuperaron Su Sonrisa
Casos reales del consultorio del Dr. Carlos Paz en CC Camino Real, Medellín.
Satisfacción de nuestros pacientes
Transformación Completa: De la Emergencia a la Sonrisa
Lo Que Dicen Nuestros Pacientes
Mensajes Reales de Pacientes
"Quiero compartir mi felicidad y agradecerles por la excelente experiencia que tuve con la odontología del Dr. Carlos Paz. Desde el primer momento me sentí muy segura gracias a su profesionalismo y dedicación. El trato fue impecable y el resultado superó mis expectativas."
"Estoy feliz con mi diseño, toda mi familia me lo ha admirado, y le voy a decir a mi mejor amiga que también se realice el diseño con ustedes. Dios me los bendiga siempre y su profesionalismo."
"Me aliviaron el dolor y me hicieron un trabajo excelente en la muela. Todo el equipo de trabajo súper especiales y sin contar en su profesionalismo. Siempre escogeré a la odontología Dr. Carlos Paz."
* Los resultados pueden variar según las condiciones de cada paciente. Consulte con el especialista.
Dr. Carlos Paz
El que elige la marca correcta para cada hueso
Hay algo que no se me olvida: una señora entró con una prótesis vieja y me dijo "Doctor, ya no aguanto — no puedo ni almorzar con mis hijos sin que se me mueva." Esa frase me cambió. No volví a poner un solo implante pensando solo en el hueso. Empecé a pensar en la persona.
Desde ese día llevo más de 4.000 implantes — y cada vez hago lo mismo: estudio el hueso, comparo 3 de las mejores marcas del mundo (Biohorizons, Straumann, Ankylos), y elijo la que va a durar toda la vida en SU boca. No la más cara. No la más rápida. La correcta para usted.
Cada implante es una persona que vuelve a comer tranquila, a reírse sin taparse la boca, a sentirse completa.
Agende Su Valoración GratuitaPlan Sonrisa Segura
Esto es todo lo que recibe en su primera visita — sin costo, sin compromiso, sin letra pequeña.
Gratis
Sin compromiso. Sin tarjeta. Sin letra pequeña.
Financiación disponibleDescubra Si Es Candidato para Implantes
Responda 5 preguntas rápidas y reciba una recomendación personalizada. Sin compromiso.
¿Cuántos dientes le faltan?
Pregunta 1 de 5
¿Hace cuánto perdió el/los diente(s)?
Pregunta 2 de 5
¿Ha consultado antes sobre implantes?
Pregunta 3 de 5
¿Qué le preocupa más del procedimiento?
Pregunta 4 de 5
¿Cómo prefiere financiar su tratamiento?
Pregunta 5 de 5
¡Buenas Noticias!
Agendar Mi Valoración GratisTodo Lo Que Necesita Saber Sobre Implantes
El procedimiento se realiza con anestesia local — usted no siente dolor durante la cirugía. Después, es normal tener una molestia leve por 5 a 10 días que se controla con acetaminofén. La mayoría de nuestros pacientes nos dicen que fue mucho menos de lo que esperaban. En su valoración gratuita, el Dr. Paz le explica exactamente qué esperar.
El precio depende de su caso específico: cuántos dientes necesita, el tipo de hueso disponible, y la marca ideal para su situación. Por eso la valoración gratuita es tan valiosa — el Dr. Paz le entrega un presupuesto detallado con todas las opciones y formas de pago. Sin sorpresas, sin presión.
Los implantes de titanio son biocompatibles — su cuerpo los acepta de forma natural. Con +4.000 implantes colocados y una tasa de éxito del 95% en osteointegración, el riesgo es mínimo. Además, el Dr. Paz evalúa cuidadosamente las condiciones de su hueso antes de proceder para garantizar el mejor resultado. Los resultados individuales pueden variar.
El proceso completo toma entre 4 y 6 meses: la cirugía del implante (aproximadamente 1 hora), un período de integración al hueso (3-4 meses), y la colocación de la corona definitiva. En total necesita solo 4 o 5 citas — su vida diaria no se interrumpe. El primer paso es la valoración gratuita.
Absolutamente. La corona se diseña para que sea indistinguible de un diente natural en color, forma y tamaño. Nadie sabrá que tiene un implante — ni usted lo sentirá diferente al masticar o sonreír. Puede ver resultados reales en la sección de casos arriba.
La gran mayoría de personas SÍ son candidatas, incluso quienes han perdido algo de hueso (existen técnicas de regeneración ósea). La única forma de saberlo con certeza es la valoración en consultorio, donde el Dr. Paz evalúa su hueso, encías y salud general con imágenes diagnósticas.
Sí. El consultorio ofrece opciones de pago para que su tratamiento se ajuste a su presupuesto, incluyendo cuotas mensuales. En su valoración gratuita le presentamos todas las alternativas disponibles para que elija la que más le convenga.
Con una tasa de éxito del 95%, es muy poco probable. Pero si llegara a pasar, usted tiene doble respaldo: las marcas premium (Biohorizons, Straumann, Ankylos) ofrecen garantía de por vida en el componente de titanio, y el Dr. Paz cubre el costo de los materiales y repite el procedimiento si usted cumplió con sus controles. Su inversión está protegida.
Sí, 100% gratis y sin compromiso. El Dr. Paz le hace una evaluación completa, le explica su caso paso a paso, y le entrega un plan de tratamiento detallado con presupuesto. Si decide no continuar, no paga absolutamente nada. No hay letra pequeña.
¿Tiene más preguntas? Escríbanos por WhatsApp y le respondemos en menos de 5 minutos.
Su Sonrisa Merece Una Segunda Oportunidad
Sabemos que necesitará este tratamiento. Nos encantaría acompañarle en el proceso — con la tranquilidad que dan +20 años de experiencia y +4.000 implantes colocados.
Haga clic en el botón verde. Le lleva directo a WhatsApp con nuestro equipo. Envíe el mensaje ya escrito. En menos de 5 minutos recibe respuesta para agendar su cita. Sin compromiso.
+4.000 pacientes ya confiaron en el Dr. Paz
P.S. O sigue con esa incomodidad al masticar, tapándose la boca en las fotos, preocupándose cada mes... o hace clic, agenda en 2 minutos, y empieza el camino hacia la sonrisa que merece. La valoración es gratuita — lo único que cuesta es no hacerla.



